roentgenlagerung
Inhaltsverzeichnis
Röntgenlagerung
Grundlagen
- Röntgeneinstellung
- wenn unter Tisch geröntgt wird muss Grid zugeschaltet sein
- kV, mAs , Belichtungszeit, Grid , über-Tisch
- nur so groß wie nötig ausblenden
- S-Wert (Verstärkungsfaktor) soll zw. 50 und 150 liegen
- wenn zu hoch ( pixelig ): zu wenig Power: Dicke oder mAs erhöhen
- wenn zu niedrig (Strukturen weggeschossen): Dicke oder mAs senken
- immer Nachbearbeitung vor rausschicken
- Helligkeit, Kontrast
- Drehung: siehe nachfolgende Bilder
- Lagerung Thorax und Abdomen
- Standard rechtsanliegend
- grundsätzlich immer Grundbilderpaar: 2 Ebenen
- Ausnahmen vom Grundbilderpaar
- Übersicht nach Trauma
- Metastasensuche Thorax 3 Ebenen
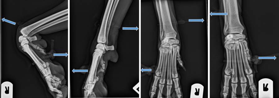
- Lagerung Extremitäten
- Vergleichende Aufnahmen: z.B. rechtes und linkes Knie
- Ausnahmen: frisches Trauma, post-OP
- Grundbilderpaar wenn nötig: 2 Ebenen
- Richtungsmarken distal anbringen
- Lagerung Wirbelsäule
- meist nur lateral nötig (rechtsanliegend)
- orthograd lagern
- Richtungsbezeichnungen
Röntgen Thorax
Röntgen Abdomen
Röntgen Wirbelsäule
Röntgen Kopf
Röntgen Schulter
Röntgen Oberarm
Röntgen Ellbogen
Röntgen Unterarm
Röntgen Karpus und Pfoten
Röntgen Hüfte
Röntgen Knie
Röntgen Unterschenkel
Röntgen Tarsus
Stressröntgen
Röntgen prä-OP TPLO
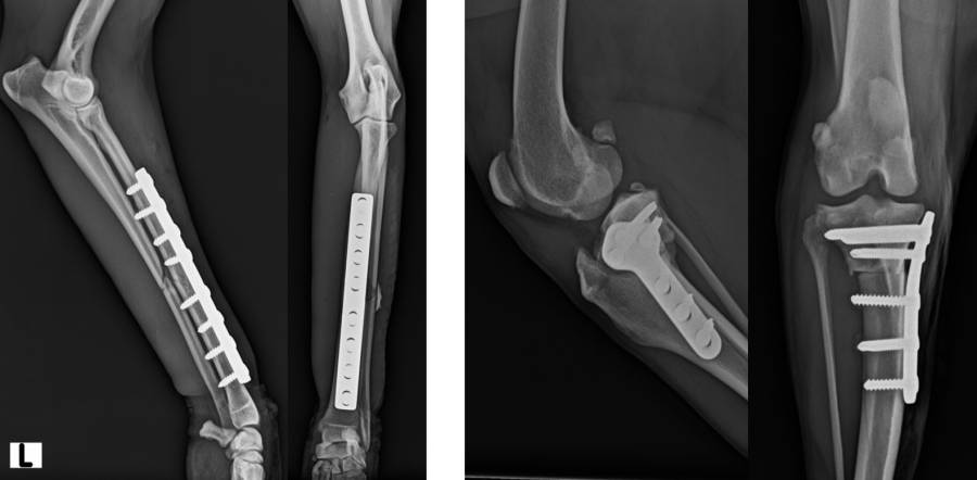
Röntgen post OP mit Implantaten
roentgenlagerung.txt · Zuletzt geändert: 2020/11/10 15:10 von m2

















