zytologischer_bilderatlas
Inhaltsverzeichnis
zytologischer Bilderatlas
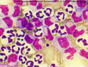
Entzündungszellen
Gewebezellen
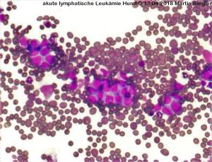
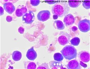
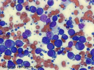
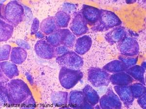
Rundzelltumore
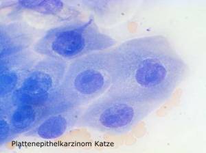
epitheliale Tumore
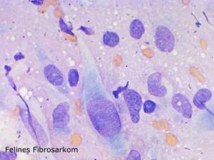
mesenchymale Tumore
Harnkristalle
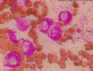
Parasiten
Quellen
- Hirschberger J (2016): Zytologie - Kutane Neoplasien. 2-Tages-Kompaktseminar, LMU-München.
zytologischer_bilderatlas.txt · Zuletzt geändert: 2020/10/29 14:54 von 127.0.0.1




















