insertionstendinopathie_infraspinatus
Inhaltsverzeichnis
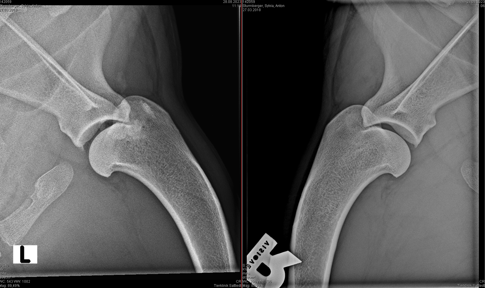
Insertionstendinopathie M. infraspinatus
Ursache
- selten
- hpts. LRT
Klinik
- Druckschmerz auf Ansatz M. infraspinatus (Muskelansatz am Tub. minus humeri - Bursa zw. Infraspinatussehne und Humerus)
- Muskelatrophie an Skapula
Diagnose
Therapie
- Konservativ: Schultergelenksinfiltration Langzeitkortison, Schonung
- OP: Chirurgische Resektion der Sehne und Bursa des M. infraspinatus mit / ohne Reinsertion der Endsehne
Quellen
- McKee WM, et al (2007): Ossification of the infraspinatus tendon-bursa in 13 dogs. The veterinary record 29.
insertionstendinopathie_infraspinatus.txt · Zuletzt geändert: 2023/09/03 12:33 von m2

