allgemeine_zytologie
Inhaltsverzeichnis
allgemeine Zytologie
- Amorphes Keratin als schlumpf-blaue Schlieren in Hintergrund
- Cholesterol-Kristalle entstehen durch Keratin-Abbbau
- Mesothelzellen: Makrophagen der Körperhöhlen, einzige Zellen mit „flaming halo“ (Füßchen), aktivierte Mesothelzellen können schlimm aussehen.
Probengewinnung
Anfärben
Differenzierung Zelltyp
Entzündungszellen
- eitrige Entzündung
- wenn > 80% der neutrophile Granulozyten
- nicht degenerierte Neutrophiele: sterile eitrige Entzündungen z.B. immunmediierte Erkrankungen, Neoplasien
- degenerierte Neutrophiele: bei infektiösen eitrigen Entzündungen
- Aussehen: Kerne aufgequollen & blass, intrazelluläre Bakterien
- pyogranulomatöse Entzündung und granulomatöse Entzündung
- neben Neutrophilen auch bis zu 50% Makrophagen
- granulomatöse Entzündung
- > als 50% Makrophagen
- Ursache: chron. Prozesse wie FK, Mykosen, Infektionen mit Protozoen und einige Bakterien z.B. Mykobakterien, Aktinomyzeten
- eosinophile Entündung
- > als 10% eosinophilen Granulozyten neben anderen Entzündungszellen
- Primärursachen: eosinophiler Granulom-Komplexes, Neoplasien (v.a. Mastzelltumore und Lymphome), Allergien und Parasiten
- häufig sind Mastzellen und manchmal auch basophile Granulozyten in unterschiedlicher Menge zwischen den Eosinophilen zu finden
- ist der Gehalt an Mastzellen sehr hoch, kommt ein Mastzelltumor als Differentialdiagnose in Frage.
- lymphozytäre, plasmazelluläre und lympho plasmazelluläre Entzündungen
- > 50% Lymphozyten / Plasmazellen
- Urasche: chronische Prozesse, immunmediierte Geschehen, viralen Infektionen und auch bei Hypersensitivitätsreaktionen
- ist der Gehalt an Plasmazellen sehr hoch, muss differentialdiagnostisch ein Plasmazelltumor in Betracht gezogen werden
- Lymphomverdacht: vermehrt mittelgroße Lymphozyten, lymphoide Blasten oder eine monomorphe Population von Lymphozyten
Gewebezellen
- Rundzellen
- runde Einzelzellen mit deutlichen Zellgrenzen
- die Zellkerne sind rund bis oval
- oft typischer Inhalt: Granula der Mastzellen, juxtanukleäre Zytoplasmaaufhellung von Plasmazellen
- Epitheliale Zellen
- exfoliieren in Zellverbänden
- manchmal sind Desmosomen in Form einer angefärbten Linie zwischen den einzelnen Zellen erkennbar
- die Zellen sind polygonal bis abgerundet und weisen deutlich erkennbare Zellgrenzen auf
- Zellkerne sind rund
- mesenchymale Zellen
- liegen normalerweise einzeln oder in lockeren Verbänden vor
- Zellform ist variabel: spindelförmig, rundlich-oval bis zu sternförmig
- Zellgrenzen sind undeutlich
- Zellkerne oval bis rund
- Endokrines / neuroendokrines Gewebe
- typisch sind „nackte Kerne im Zytoplasmasee“
- Zellkerne sind rund und befinden sich in lockeren Zellclustern, die keine Zellgrenzen erkennen lassen
Malignitätskriterien
- malignes Geschehen wenn …
- Körperhöhlenpunktat mindestens 5 nukleäre Malignitätskriterien (epitheliale Tumorzellen sind im Punktat kaum von reaktiven Mesothel zellen zu unterscheiden)
- Lymphzelltumore
- normales und hyperplastisches Lymphgewebe zeigen ein polymorphes Zellbild - es liegt eine gemischte Population aus kleinen Lymphozyten, mittelgroßen Lymphozyten, wenigen lymphoiden Blasten und bei Hyperplasie auch Plasmazellen vor
- ein monomorphes Bild weist auf das Vorliegen eines Lymphoms hin, auch wenn es sich um morphologisch unauffällige kleine Lymphozyten handelt
- sonstige Punktate mindestens drei nukleäre Malignitätskriterien
- Malignitätskriterien
- allgemeine Malignitätskriterien
- Anisozytose (unterschiedliche Zellgröße)
- Pleomorphismus (variable Zellgestalt)
- Makrozytose (Riesenzellen)
- nukleären Malignitätskriterien
- erhöhte Kern/ZytoplasmaRatio (erhöhtes Kern volumen in Relation zum Zytoplasma)
- variable Kern/Zytoplasma-Ratio
- Anisokaryose (ungleich große Kerne)
- Riesenkerne
- Mehrkernigkeit
- Mehrkernigkeit mit Anisokaryose
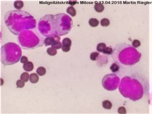
- eine erhöhte Mitoserate oder atypische Mitosen
- grobscholliges Kernchromatin
- große, prominente und multiple Nukleoli
- irreguläre Nukleoli (z.B dreieckig)
- Anisonukleoliose (ungleich große Nukleoli)
- Kerndeformationen.
Quellen
- Hirschberger J (2016): Zytologie - Kutane Neoplasien. 2-Tages-Kompaktseminar, LMU-München.
- Laboklin (2013): Zytologische Diagnostik – Leitfaden zur systematischen Beurteilung zytologischer Präparate. Download am 13.04.2018: http://v17.laboklin.com/pages/html/de/VetInfo/aktuell/lab_akt_1508.htm.
allgemeine_zytologie.txt · Zuletzt geändert: 2020/10/29 14:54 von 127.0.0.1




