us_thorax
Inhaltsverzeichnis
Ultraschall Thorax
Lunge
BLUE (Bedside Lung Ultrasound in Emergency) Protocol
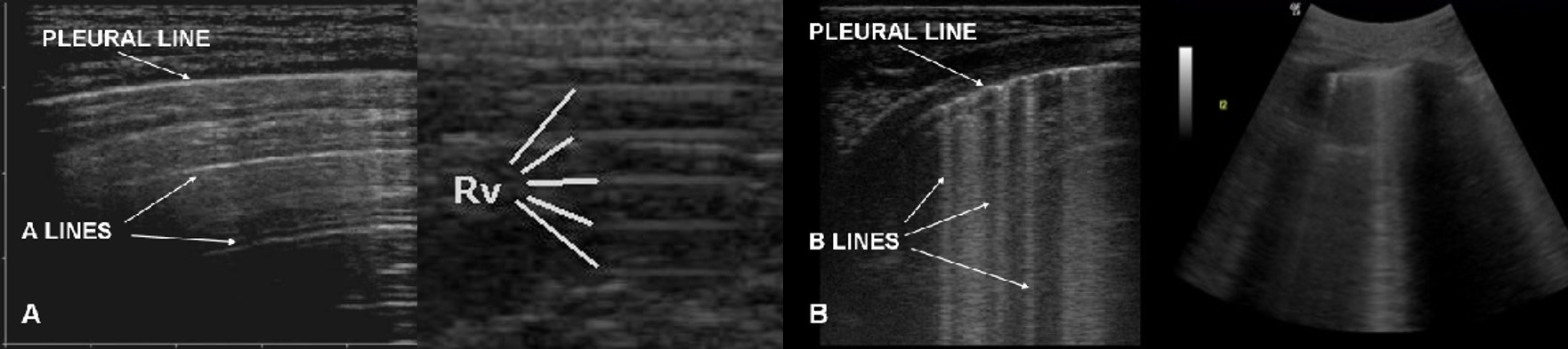
- Normal: vorderes Gleitzeichen + A-Lines (Reverbationen: Artefakt bei normaler Lungenlage)
- Lungenödem: multiple dominierende B-Lines (Wet-Lung: Discoscheinwerfer bei Lungenödem) + Gliding-Sign (Lunge gleitet auf Thoraxwand)
- Pneumothorax: kein vorderes Gliding-Sign + grobe A-Lines, kein Pleuralspalt, keine Kometenschweifartefakte
- Pneumonie: diffuse B-Lines
- Pleuritis: Aufrauung und Unterbrechung der normalerweise glatten Pleura, subpleurale Herde, Pleuraerguss
us_thorax.txt · Zuletzt geändert: 2020/10/29 14:54 von 127.0.0.1

