iliosakralgelenksluxation
Inhaltsverzeichnis
Iliosakralgelenksluxation
Therapie
- konservativ
- einseitige Iliosakralgelenksluxation mit geringer Verlagerung (<50%) kann konservativ versorgt werden
- OP
Offene Reposition
- Lagerung
- einseitige Luxation: lateral
- beidseitige Luxation: Bauchlage
- Zugang
- Hautschnitt über Ilium von dorsal
- Ilium freipräparieren (bei beidseitiger Lux. auf beiden Seiten)
- Lösung des mittleren Glutealmuskels und der supraspinalen Muskulatur
- Hohmannhebel zw. Ilium und ventral v. Sacrum (nur ein bisschen drunter) setzten und das Ilium nach ventral drücken
- Bohrung Sakrum
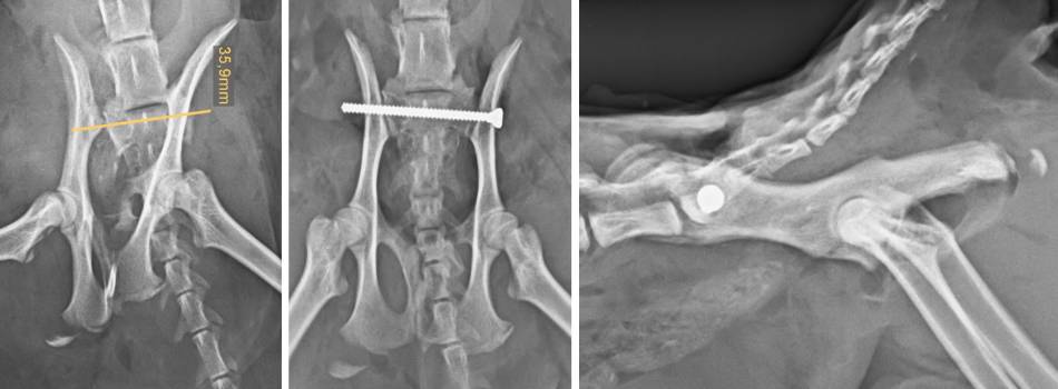
- Gelenkfläche (halbmondförmige synoviale Gelenkfläche, fibrocartilaginöse Synchondrose)
- einseitige Iliosakralluxation
- Bohrer: 2 mm
- Borhpunkg: Mitte des Halbmondes suchen und 1mm drüber und davor Borhrer Ansetzten
- Bohrrichtung: 20° nach caudal und 0° nach dorsal)
- bis mind. über 60% übers Ilium bohren
- beidseitige Iliosakralluxation
- m. Pin Mitte des Halbmondes markieren
- mit Zielgerät und 2,5 mm Bohrer durchbohren
- Bohrung Ilium
- Zielgerät / Tuchklemme am Ilium in der Mitte des Halbmondes anklemmen um aussen eine Bohrmarkierung zu setzen
- 2,7 mm Bohrer durch Ilium bohren (etwas von caudal, damit es das Ilium nach aussen drückt
- Bohrlochfräse
- Schraube setzen
- einseitige Luxation
- Zugschraube 2,7 mm
- Schraubenlänge mind. 60% vom Sakrum (ab 75% fällt die Komplikationsrate ab)
- bilaterale Iliosakralluxation
- 2 mm Schraube mit Mutter auf kontralateralen Seite
Minimalinvasive Reposition
- perfekte Seitenlage in Vakuummatratze (Proc. transversi superimposed)
- Reduktion der Fx
- cranial Dornfortsatz L7 angklemmen
- caudal Ilium / Sitzbein anklemmen
- Ilium nach caudal drücken
- nach Reduktion kleinen Pin setzen caudal davon wo die Schraube gesetzt wird
- Bohrung für Positionsschraube
- erst Pin setzen um für Bohrung vorzubereiten
- Hautschnitt und bis zum Ilium präparieren
- Bohrhülse über Pin stecken
- Pin entfernen und bohren
- Gleitloch bohren (vor OP schon Tiefe durch Ilium messen
- Schraube setzen
- Zugschraube 2,7 mm
- soll über mind. 60% des Sakrums gehen (Schraube ggr. kürzer als Bohrloch, evtl. Beilagscheibe nehmen)
iliosakralgelenksluxation.txt · Zuletzt geändert: 2020/10/29 14:54 von 127.0.0.1



