ellbogendysplasie
Inhaltsverzeichnis
Ellbogendysplasie
Epidemiologie
- Vererbung spielt eine wesentliche Rolle bei der Entstehung von ED
- Umwelteinflüsse (Fütterung, Gewicht, Haltung und Nutzung) nur gewissen Einfluss
- IPA
- große Rassen haben genetische Prädisposition: DSH, Cane Corso, deutsche Dogge, Berhardiner, Rottweiler, Mastiff, Leonberger
- beidseitig 30%
Ursache
- Missverhältnis aus Wachstum von Radius vs. Ulna
- Radius wächst prox und distal ca. gleich viel
- Ulna wächst fast nur von distal
- Folgen
- IPA
- Short Ulna mit 4 Mo → UAP
- sollte mit 4-6 Mo verwachsen sein (DSH muss mit 4 Mo verwachsen sein)
- Fusion PA 15-17 LW (Range: 15-23 Wo)
- FCP
- Short Radius mit 5-6 Mo → FCP
- verknöchert ab 5 Mo → CT davor schwer zu beurteilen
- Ursache FPC
- Hund: genetisch → ab 4-6 Mo zu finden, traumatisch auch später
- Ktz nur traumatisch
- OCD
- OC(D) des Condylus medialis humeri
- Kompartmentsyndrom
- medial: Knorpelglatzen reiben aufeinander
Symptome
- LH (evtl. schwer zu sehen bei bilateraler Problematik)
- Ellbogen abduziert
- Gelenksfüllung
Diagnose
- RX / CT
- Röntgenaufnahmen
- mediolatiolateral in gebeugter Haltung - ca. 90°
- cd mit 15° Pronation
- durch vergleichende Bilder selber Rasse und Alter
- Messungen des Gelenkspaltes und Osteophyten am Lig. Olecrani
- IPA: Ellbogen gestreckt und gebeugt: IPA (Trennungslinie), Sklerose, Inkongruenz
- Frühdiagnostik Ellbogendysplasie
- ab 4-6 Mo Röngten bei empfänglichen Rassen (Golden RT und Laprador (zu 30% ED))
- subtrochleare Sklerose ohne klinische Anzeichen à distale Ulnaosteotomie
Sklerosierung des Ulnakanals bei FPC entsteht wenn das Gelenk unter Stress ist - Inkongruenz zählt nur mit Sklerose - sonst Lagerungsbedingt
- meist nur das mediale Kompartment betroffen à FPC ± OCD med. Condylus
- frühe distale Ulnaosteotomie (distal dynamic ulnar osteotomie) à Entlastet das mediale u. laterale Coronoid àKongruenz des Ellbogens wieder hergestellt
- wenn eine LH besteht, oder im RX schon ein FPC / OCD vermutet wird, wird die distale Ulnaosteotomie mit einer Arthroskopie kombiniert
Therapie FCP
- Ellbogenarthroskopie und Entfernung FCP
- distale Ulnaosteotomie
- Indikation: wenn nur eine Sklerose bei der Frühdiagnostik (4-6 Mo) vorliegt, ohne dass Symptome bestehen
- proximale Ulnaosteotomie
- Indikation: wenn zusätzlich LH / ab 5-14 Mo / Kompartmentsyndrom
- Slinding humeral Osteotomie: Gewicht wird v. med. auf lat. verlagert
- CUE: lat. Kompartment muss ok sein, seitlicher Gelenkszugang
distale Ulnaosteotomie
- kleiner Zugang
- Periost abpräparieren
- aus der Ulna 2 cm über der distalen Epiphysenfuge 5-10mm Knochen mit dem Rongeur weggezwickt
- CAVE
- Periost vom Radius nicht verletzten um Synostosen zw. Ulna und Radius zu vermeiden * interossäre Gefäße nicht beschädigen
- nicht die interossären Ligamente durchtrennen zw. Ulna und Radius
- Post-OP: RX nach 3-4 Wo
- Komplikationen: wenn RX schlechter, FCP / OCD trotzdem möglich → Arthroskopie
proximale Ulnaosteotomie
Bioblique Ulnaosteotomie, Dynamic Ulnaosteotomie (DUO)
- durch Zug an der Trizepssehne bei Belastung wird die Ulna nach prox. gezogen und das Gelenk kann sich ausrichten
- caudaler Zugang zur prox. Ulna
- mit Periostschaber Weichteil medial und lateral abheben und mit 2 großen Hohmannhebeln weghalten
- Schnitt
- Start: ggr. distal vom med. Coronoid (Übergang prox. Übergang 1/3 zum 2/3 oder 3-6 cm distal von Gelenksfläche)
- Schnitt
- caudoproximal nach craniodistal mit 40°
- proxomolateral nach mediodistal mit 50°
- nach dem durchschneiden sollten die Knochenenden auseinander weichen
- wenn nicht: interossären Ligamente mit Periostschaber lockern
- Verlauf
- Heilung innerhalb von 1-2 Mo
- komplette Remodellierung nach 6-9 Mo
- häufig ist eine Reduktion der subtrochlearen Sklerose zu sehen
Therapie IPA
- konservativ von erwachsenen Hunden ohne Inkongruenz möglich
- erste Therapie ist das Herstellen der Gelenkskongruenz
- frühe distale Ulnaosteotomie um Druck von Proc. anconeus zu nehmen
- prox. Ulnaosteotomie bis zu 12 Monat auch wenn der PA nicht fixiert werden kann
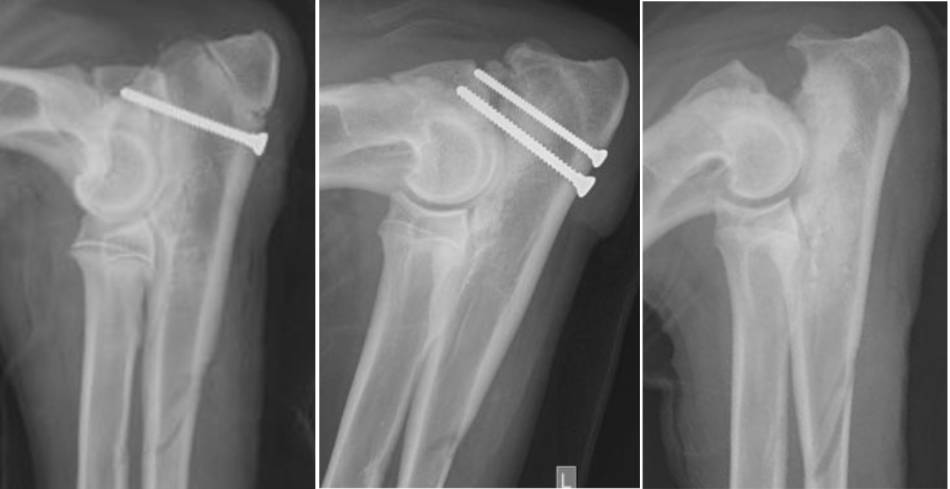
- Schraubenfixation des Proc. anconeus
- der Proc. anconeus wird nur entfernt, wenn Arthrosen, oder älteres Tier
- bei erwachsenen Hunden mit verlagertem PA OP nötig
IPA Schraubenfixation
Prognose
- frühe Diagnose wichtig für Behandlungserfolg
- IPA
- Inkongruenz stark für das Auftreten von Ostoarthrosen und evtl. Implatnatversagen verantwortlich
- Abhängig von Grad und Alter (bis ein Jahr bessere Prognose)
- Grad 1: Fissur, UPA nicht beweglich → gute Prognose nach OP: Zugschraubenfixation, distale / prox. Ulnaosteotomie
- Grad 2: UPA beweglich aber in situ → Zugschraubenfixation: variable Prognose bei frühzeitiger OP
- Grad 3: UPA stark beweglich und nicht mehr in situ, Erosion der Kontaktflächen, persistierende Inkongruenz → Exzission PA: vorsichtige bis gute Prognose
Quellen
- Vezzoni A (2017): Studies on UAP accouting 380 cases in 298 dogs. GRSK.
- Tellhelm B (2011): Ellbogendysplasie - ED Röntgentechnik und Beurteilung. Kleintiermedizin 5
ellbogendysplasie.txt · Zuletzt geändert: 2021/10/08 16:27 von m2


